Qu’est ce que c’est ?
La Cardiomyopathie Hypertrophique (CMH) est la maladie cardiaque la plus fréquente chez le chat. Il s’agit d’un épaississement de la paroi du muscle cardiaque. Cet épaississement conduit à une diminution de volume des cavités cardiaques et de ce fait à une insuffisance cardiaque. La maladie se déclare en moyenne entre 5 ans et 7 ans.
Certaines races de chat sont prédisposées comme le Maine Coon, le Persan, le Ragdoll, le Sphinx, le British et l’American shorthair…
On note que les chats mâles sont plus concernés que les chats femelles.
Quelles sont les causes de CMH chez le chat ?
Les causes peuvent être génétiques ou acquises. Pour certaines races, des gènes ont été identifiés comme responsables. Ainsi, des tests de dépistage génétiques existent et permettent d’écarter de la reproduction les animaux porteurs des gènes incriminés. Cependant, ces tests sont réservés à quelques races. Il reste encore certaines races pour lesquelles l’identification des gènes en cause n’a pas été clairement défini.
La CMH peut être secondaire à une maladie chronique comme l’hyperthyroïdie ou l’hypertension chronique.
Quelles sont les manifestations de la CMH chez le chat ?
L’augmentation de l’épaisseur cardiaque conduit progressivement à une insuffisance du remplissage cardiaque puisque les cavités diminuent en volume. Pour compenser cette insuffisance, la fréquence cardiaque augmente. Des congestions veineuses apparaissent (oedème pulmonaire, épanchement thoracique, ascite…). La stase veineuse augmente également le risque de trombo embolie.
La plupart des chats atteints n’ont aucun signe de la maladie. La maladie se manifeste par des difficultés respiratoires, des vomissements et une perte d’appétit. La toux n’ est observée que très rarement. Les trombo embolies se manifestent par une paralysie soudaine et douloureuse du train arrière.
Quels sont les moyens diagnostiques ?
Votre vétérinaire note à lors de l’auscultation la présence d’un souffle cardiaque (bruits surajoutés aux bruits cardiaques, signant la présence d’une turbulence du flux sanguin).
La fréquence cardiaque est augmentée.
La radiographie du thorax permet de détecter un épanchement de liquide dans le thorax, un œdème pulmonaire.
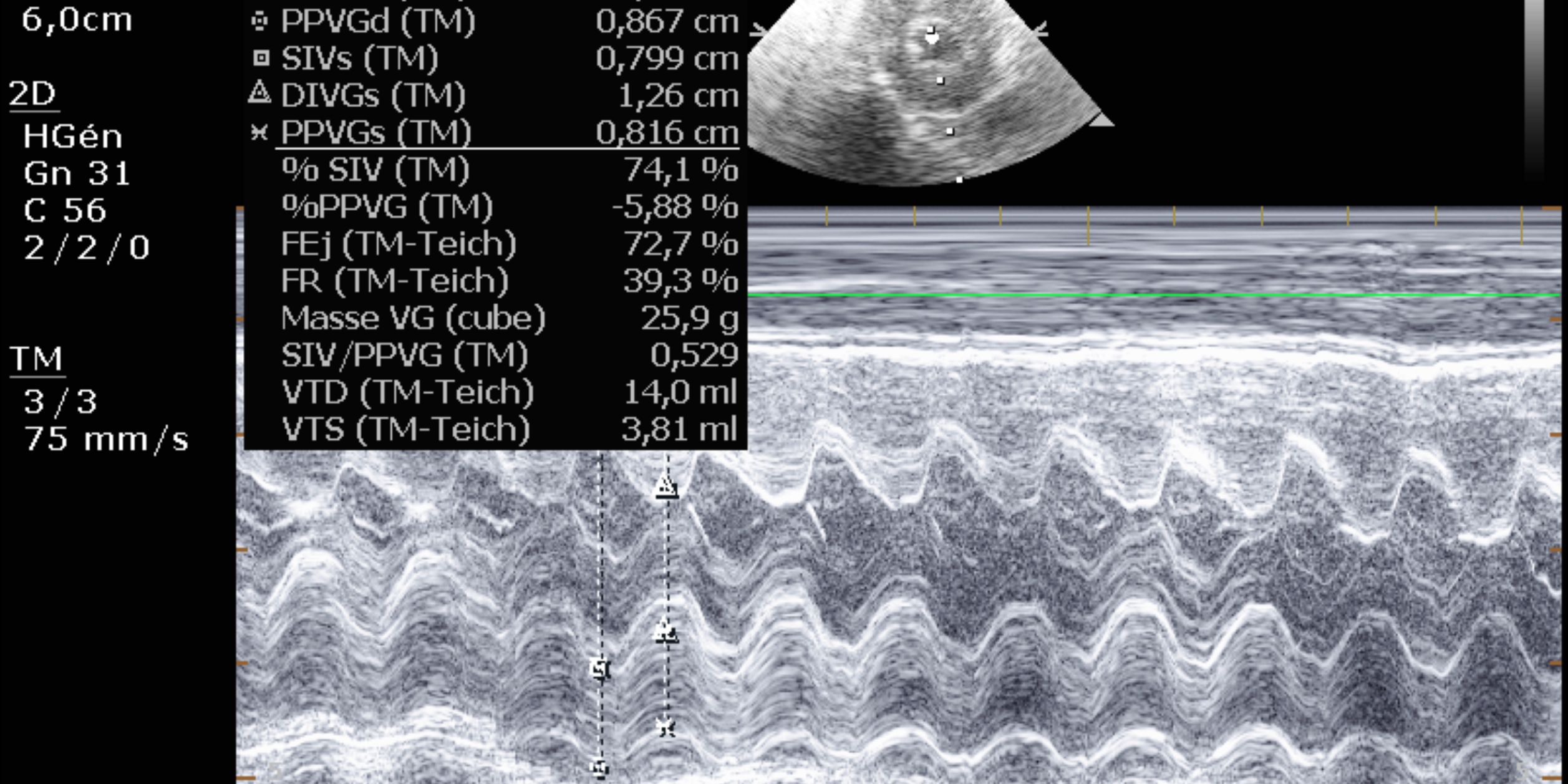
L’échographie du cœur est diagnostique car elle permet de mesurer l’épaississement du muscle cardiaque.
La prise de sang est intéressante car elle donne des informations diagnostiques et pronostiques grâce au dosage d’une protéine cardiaque (TEST CARDIO PRO BNP Laboratoire IDEXX).
Quel est le traitement ?
Les diurétiques permettent de lutter contre les phénomènes de congestion et améliorent l’état respiratoire des animaux.
D’autres médicaments freinent l’évolution de la maladie.
En cas d’hyperthyroïdie et d’hypertension artérielle, le traitement de ces deux affections permet de lutter contre l’épaississement cardiaque.
L’espérance de vie est en moyenne de 5 ans pour les animaux sans signe clinique. Suite à la première décompensation cardiaque, les animaux vivent en moyenne 3 mois.
Docteur Isabelle Pasquet – Fondatrice Clinique vétérinaire VETINPARIS, Paris 11




